La «soledad conectada» o el riesgo de hablar con tus abuelos sólo por mensajes de Whatsapp

Mantener el contacto con familiares que viven lejos, organizar planes y compartir imágenes que refuerzan el sentimiento de pertenencia son algunos de los beneficios que ofrecen a las personas mayores las herramientas de mensajería instantánea, como WhatsApp. Sin embargo, hablar todos los días por mensaje no es suficiente. Expertos recomiendan combinar los mensajes con visitas y actividades para cuidar el bienestar de los mayores.
Asistentes de voz: ¿solución a la soledad no deseada?

En las últimas décadas, la soledad se ha convertido en un problema social de especial relevancia. Investigadoras de la UOC han realizado una revisión sobre los riesgos y la potencialidad de los asistentes de voz, que se plantean como herramienta para reducir los sentimientos causados por la soledad no deseada.
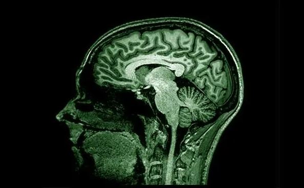
Nuevos avances para detectar el alzhéimer

El alzhéimer es una enfermedad neurodegenerativa que, según la Organización Mundial de la Salud (OMS), afecta a aproximadamente a 50 millones de personas a nivel mundial por lo que sus avances suponen uno de los grandes desafíos para la medicina moderna.
El envejecimiento de la población, gran reto para el futuro del Sistema Nacional de Salud

El Sistema Nacional de Salud (SNS) se enfrenta a un gran reto debido al envejecimiento de la población, según un informe de la Fundación Viatris para la Salud. Entre las principales propuestas de este informe para enfrentar los retos del SNS se encuentran la optimización del gasto farmacéutico, la promoción de políticas de prevención, el aumento de profesionales formados, los modelos de atención integrada y el avance en digitalización.
La dieta perfecta para un envejecimiento saludable

Evitar restricciones severas, aumentar la ingesta de proteína vegetal y moderar el consumo de carbohidratos son algunas de las recomendaciones clave en la dieta para un envejecimiento saludable. Estas son las pautas que ofrecen los expertos de la Universitat Oberta de Catalunya.